院長は、複数の歯科医師向けのインプラントインストラクターを行っています
※セカンドオピニオンに対応※
※インプラント治療をしたケース。治療後のメンテナンスを怠るとインプラント周囲炎になるリスクあり。


院長は、複数の歯科医師向けのインプラントインストラクターを行っています
※セカンドオピニオンに対応※










※インプラント治療をしたケース。治療後のメンテナンスを怠るとインプラント周囲炎になるリスクあり。
インプラント治療は院長が必ず担当します。
日本だけでなく、海外でも多くの研鑽を積み、現在は書籍の執筆や、歯科医師向けのインストラクター等を務めています。










当院にはインプラント治療で多くの患者様が来院されます。
その理由は「世界水準の卓越した技術・診断レベル」、「安全性を追求した当院オリジナルのシステム」、「見た目(審美性)の回復」の3つにあります。
それぞれ特徴をご紹介していきます。

近年、インプラント治療の技術を磨くための研修・セミナーは増加傾向にあり、内容も非常に充実したものになってまいりました。それに伴い、インプラントを埋入するだけなら、少し勉強した歯科医師でもインプラント治療を行うのは簡単なことです。
ただ、誤解して頂きたくないのが、あくまで「埋入するだけ」という点において成功率が高くなっただけで、その点で言えばインプラントは成功して当たり前の時代になってきているのです。

それを大前提とし、現在は「いかに審美性を追求し、スピーディーに痛みを抑えてインプラントを埋入するか」が重視される時代にシフトしてきています。埋入するだけなら簡単なインプラント治療が、これを目的にした途端、実現できる歯科医院は非常に限定されたものとなります。
当院独自のシステムを下記の4つに区分してご説明したいと思います。
技術・診断力を高めるには、「新しい知識・技術の習得」、「CT・シュミレーションソフトによる分析」がなによりも大切になります。

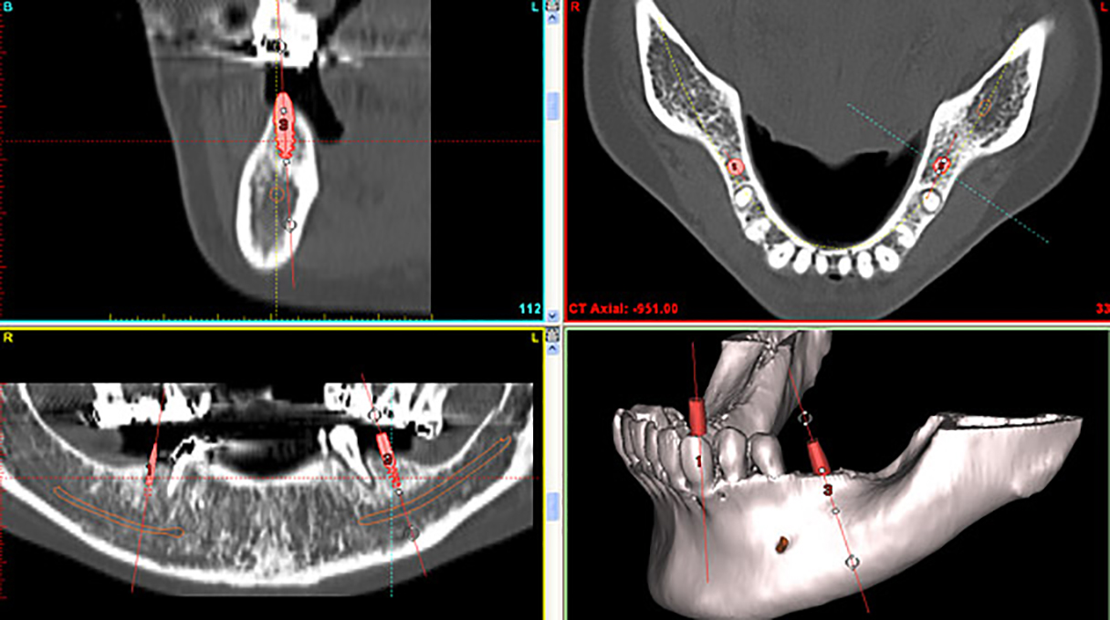
もはや、CT撮影はインプラント治療を成功させるためにはなくてはならないものというのが世界の認識です。CTとは、立体的(三次元)に骨の状態や神経の位置を把握できる特殊な撮影装置です。従来のレントゲンでは見えなかったこと、分からなかったことが、歯科用CTなら正確な診査と診断ができ、安全性と治療のクオリティーを高めることが可能となります。当院では、オペの際はCT撮影を行い、そしてオペ後もCT撮影を行い、翌日来院していただく際に、CT画像をお見せしながら治療後の状態をご説明しています。
また、このCT画像をノーベルガイドというシュミレーションソフトに取り込むことで更に「安全」な治療が実現できるようになりました。
ノーベルガイドを簡単に説明しますと、今までは、歯ぐきを切開してみなければ分からなかったことが、手術前に分かってしまうことが特徴的です。骨の厚さや血管の位置などですね。これが事前に分かることで、手術前に様々なシミュレーションが可能になります。どの部分にどのサイズのインプラントを埋入するだとか、ここには血管・神経が走っているので、避けてインプラントを埋入しようなどです。
以前までのインプラント手術は、歯科医師の経験や勘に頼った部分が多くありました。
しかし、CTを上手に活用することで、「経験や勘」といったあいまいなものに頼るのではなく、寸分の狂いのない「データ」に基づいた手術が可能となり、安全性・正確性が格段に向上することになっています。
また当院では、「ノーベルガイド」と呼ばれるオペシミュレーションソフトを利用し、オペ前に3回のシミュレーションを行っています。
つまり、オペ当日には4回目のオペとなりますので、万全の態勢で本番のオペに臨むことができるようになっています。

その他、CTデータとシミュレーションソフトによる分析で得られた情報をもとに決定された、インプラントを埋め込む場所・角度・大きさ・長さなどの情報を反映させて作製されたマウスピースのようなもの(ガイド)を利用するのも当院の特徴です。
実際の手術では、これをお口にはめ込み、穴が開いている部分にインプラント体を埋入するだけで、安全なオペが可能になります。


また、手術時間の短縮につながるほか、骨の少ない難しい症例に対して、手術できるケースが増え、患者様の身体的、経済的負担の軽減に役立っております。


インプラント治療をする場合、歯科に関する様々な分野の知識・経験を駆使する必要があります。例えば、補綴学、咬合学、歯周病学、解剖学、口腔外科学などなど。先ほどもお話ししましたが、単にインプラントを埋め込むことは簡単です。しかし、それだけでは、治療後に様々な問題が生じる恐れがあります。当院では、各分野の専門家が集まり、それぞれの専門性を生かしたインプラント治療に取り組んでいます。

当院でのインプラント治療は基本的に「局所麻酔(通常の治療で利用する麻酔)」で対応しておりますが、患者様がご希望される場合や、ドクターが判断した場合は「静脈内鎮静法」という麻酔を行います。静脈内鎮静法とは、全身麻酔に近いにも関わらず身体への負担が少なく、「うとうと」した状態になり、緊張や不安、痛みが抑えられたまま手術を終える事が出来ます。この方法を利用した患者様のほとんどが「気づいたら終わっていた」とおっしゃいます。もちろん、副作用や後遺症などありませんのでご安心ください。
当院では、静脈内鎮静麻酔を行う場合は、提携している麻酔専門医の先生と共に治療を行います。
インプラント治療は患者様のお口の状態、そしてご希望に合わせて様々な術式があります。
それぞれご紹介いたします。

骨の量が少ない方は、「傾斜埋入法」「ショートインプラント法」などをご提案いたします。一般的な「骨造成法」も行いますが、この手法は治療期間が長くなることもありますので、患者様とご相談しながら適切な手法をご提案いたします。

インプラントをする多くの方が、歯周病などで歯がダメになってしまった方です。そのような場合、ダメになってしまった歯を抜歯するのですが、従来法では、抜歯後、状態が安定してからインプラントを埋め込んでいましたので、どうしても治療期間が長くなっていました。しかし、抜歯即時埋入法という手法を利用することで、治療期間を大幅に短縮することが可能になります。抜歯即時埋入法とはその名の通り、抜歯してそのまますぐにインプラントを埋入する手法です。
前述したことですが、研究も進んでいる現在では、インプラントを埋入するだけであればどの歯科医院でも簡単に行えるようになってまいりました。
しかし、長期間にわたりインプラントを機能させ続けるという点においては、まだまだどの医院でも対応できるものではありません。なぜなら、治療技術はもちろんのこと、定期メンテナンス、衛生管理、設備投資などが必要となるためです。
当院では、インプラント治療を安全で、確かなものにし、そして可能な限り長く持たせていくための設備を整えております。インプラント事故がクローズアップされている現代だからこそ、当院で安全なインプラント治療を受けてみてはいかがでしょうか。
|
オペ室
|
無菌状態がインプラント治療の成否を分けます。当院ではオペ専用の個室診療室があります。 |
歯科用CT
|
インプラントオペの際はCT撮影・分析を実施します。 |
|
インプラントメーカー
|
全世界のドクターから信頼されている「ブローネマルク」を利用しています。 |
生体情報モニター
|
インプラント治療中の患者様の状態を的確に把握する生体情報モニターを導入しております。 |
|
衛生管理
|
当然のことですが、使用する材料・機材等はすべて滅菌消毒し、使い捨てできるものはすべて使い捨てをしっかり行っております。 |
保証
|
インプラント体5年、上部構造は5年の保証を行っておりますので安心です。詳細はこちら |
その他、インプラントを長持ちさせるために大切なことは「術後のメンテナンス」です。特に、インプラント周囲炎という病気に注意を払わなければなりません。
インプラント周囲炎は、歯周病と同じく、歯周病原性細菌によって起こる病気です。つまり、インプラント周囲炎を予防するためには、歯周病治療が前提となります。もし、治療しないで放置しておくと、周りの骨がなくなり、最終的にはインプラントが抜け落ちてしまいます。症状は歯周病と類似していますが、見た目の炎症や腫れがあまりないにもかかわらず、病気の進行速度が天然歯に比べ10~20倍と非常に速いことが特徴です。

これからは、治療後のメンテナンス(特にインプラント周囲炎)にどれだけ力を入れている医院なのかを、事前に見極めることが大切となります。
今後のインプラントは、「安全に埋入して、しっかり噛みやすくなる治療」ではなく、「安全に埋入して、しっかり噛みやすくなり、天然歯と変わらない審美性を回復させる治療」でなければなりません。
上記目標を達成させるために当院で行っていることをご紹介いたします。
審美性というと「歯の形態・色」にのみ目がいきがちですが、口元の美しさは「歯」だけでなく「歯肉・骨の状態」も大切になります。特にインプラントをされる方は、歯周病や長期間の入れ歯利用で、歯肉や骨が退縮していることが多いため、そちらのほうも総合的に考えながら治療を進めなければ、天然歯と見分けがつかないインプラント治療はできません。当院ではインプラント治療と並行し、歯肉形成外科や、骨造成法を活用し、総合的な口元の美を追求しています。
インプラントはあくまで治療の選択肢の一つです。
患者さんの健康状態や歯周病の進行度合いによって、お勧めできない場合もあります。
メリット、デメリットをご理解いただいたうえで、安心して治療に臨んでいただけるよう、当院ではカウンセリングをしっかり行っています。まずはご要望を聞かせていただければと思います。




インプラント治療というと、「歯を失った場合の1つの選択肢」というイメージがあると思います。決して間違いではありませんが、歯科医師の立場から皆様にお伝えしたいことは、インプラント治療は「お口の健康維持(=予防処置)」に通じるということです。
歯を失った場合の選択肢として「入れ歯」「ブリッジ」「インプラント」の3つがあります。
入れ歯の場合、入れ歯を安定させるために金属のバネを他の健康な歯にひっかける必要があります。咀嚼するたびにその健康な歯には負担がかかり最終的には抜歯という運命が待ちうけます。また、ブリッジの場合も他の健康な歯を支台とする必要があり、咀嚼の度に健康な歯へ過度の負担がかかることで最終的には抜歯の運命が待ちうけています。
しかし、インプラントの場合は「支台」という概念がありませんので、他の健康な歯に負担をかけることはありませんし、ましてやダメにすることはありえません。

つまり「他の健康な歯を守る」という意味で、インプラントは予防処置といえます。
また最近は、物をしっかり噛むことで脳に新鮮な血液が行き渡り「痴呆症の予防」になるという研究結果が出ています。私は高齢者向けの訪問歯科診療を行っていた時期があり、このことは体験からよく理解しています。
しっかり噛みやすいか否かは「噛む力」で表現できます。
天然歯の噛む力を100とすると、入れ歯・ブリッジ・インプラントの噛む力はどのくらいだと思いますか?
下の図を見てみてください。

入れ歯が30%、ブリッジが60%、インプラントが90%になります。
何をお伝えしたいか分かりますよね。
この意味からもインプラントは「自立した人生を送る」ための予防処置と言えます。
他の治療と比べてインプラントが一番良いとは言いません。
インプラントにはないメリットも入れ歯・ブリッジにはあります。
しかし、このような事実をしっかり理解したうえで治療法を選択されるべきだという考えからここでご紹介させていただきました。
また、「インプラントは一生使えます!」「インプラントは自分の歯のようになんでも噛めます!」などと良いことばかりの宣伝が最近は目にすることが多いかと思います。
この宣伝は決して間違いではありません。
しかし、「やるべきことをしっかりやった上で……」という条件がつきます。
インプラントを永続的にもたせるためには、インプラントを適切に埋め込むことは当然のこととして、治療後のアフターケアが何よりも重要となります。
歯が抜けてしまった原因が「歯周病」にある場合、日ごろのお口のケアが不十分だったと言えますので、口腔ケアをしやすくするようなインプラント設計、適切な口腔ケア指導、生活習慣の改善などを歯科医院側から積極的に行っていく必要があります。
当院では、単に「インプラントが入って噛みやすいようになったら終了」という体制はとっておりません。