


バリアフリーの設計にしておりますので、お年寄りの方、足の不自由な方も気軽に来院していただけます。
広いスペースのキッズルームがあります。受付から見える位置にありますので、安心してお子様を遊ばせておくことができます。
当院には、「個室」の診療室(オペ室兼用)が2つ、その他は「半個室」の診療室となっておりますので、治療中、他の患者様と顔を合わせることはありません。
広いスペースを確保しております。
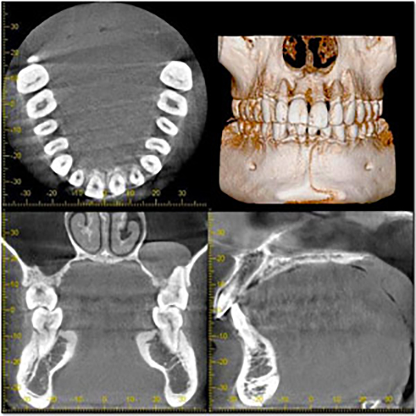
院内にCT装置を設置しています。
インプラント治療や親知らずの抜歯、根管治療など、精密な治療を行うため、様々な治療で利用します。
衛生管理、感染予防体制は医療機関として当然の務めです。
当院では、滅菌、感染予防のためのマニュアルを構築し、誰が行っても高いレベルでの滅菌ができるよう体制を整えていますので、安心して治療に専念いただけます。
また、エプロン、紙コップ、グローブはすべて使い捨てのものを利用しています。
その他、治療中に発生する粉じんなどを除去する、口腔外バキュームを設置し、常に清潔な空間を維持しています。
また、当院では「EO水」「ホルマリンガス滅菌」なども導入しております。
EO水は、エイズ、B型肝炎、C型肝炎、ヘルペス等のウィルスやMRSA、インフルエンザウイルス、緑膿菌、水虫、タムシ等の糸状菌、黄色ブドウ球菌、食中毒菌(O-157含)、黄色ブドウ球菌、カンジタ等のウィルスや細菌をほとんど瞬時に殺してしまう力があります。EO水は薬品と違い薬剤耐性、残留性がなく、強酸性で少し酸味がありますが、細菌やウィルス、体液、血液と反応した後は、ただちに普通の水にもどりますので、人体にはまったく無害の安全な水です。
一般的な滅菌器(オートクレーブ)では滅菌できないチューブやプラスチック類等、あらゆる機材の滅菌が可能なホルマリンガス滅菌器です。ウィルス(HIV・HBV等)に対する殺菌においても抜群の効力を発揮します。
その他、緊急時対応として、酸素ボンベや生体情報モニターなども設置しています。