破折した歯をオールセラミッククラウンで審美の改善 〜福山市 歯医者〜
2015年01月15日
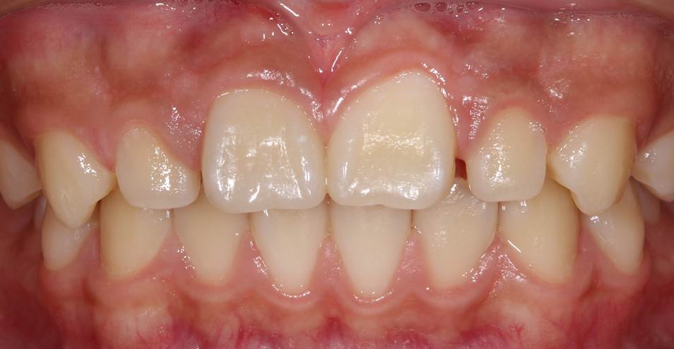
部活動中に、打撲により歯が破折。非常に厳しいケースではありますが何が何でも神経を残して治療をしたいと考えました。
特徴的な口腔内に自然に調和させるのは少し苦労しましたが技工士との細かい、やり取りを繰り返し治療を終える事ができました。患者様も「どれが治療した歯かわからない!」と言っていただけるほど審美的に仕上がりました。


2015年01月15日
部活動中に、打撲により歯が破折。非常に厳しいケースではありますが何が何でも神経を残して治療をしたいと考えました。
特徴的な口腔内に自然に調和させるのは少し苦労しましたが技工士との細かい、やり取りを繰り返し治療を終える事ができました。患者様も「どれが治療した歯かわからない!」と言っていただけるほど審美的に仕上がりました。
2015年01月13日
上記症例は「遊離歯肉移植術(FGG)」の症例となります。
歯肉には、骨にピッチリと付いた歯肉(付着歯肉)と,骨とはピッチリつかず頬などが動くと一緒に動く歯肉(遊離歯肉)とがあります。歯の周りには歯周ポケットがありますが、歯周ポケットを作っている歯肉が遊離歯肉だと、頬を動かすたびに歯肉が動き、歯周ポケット内によごれが入りやすい状態になってしまいます。つまり歯の周りに十分な付着歯肉があるほうが、歯ぐきの健康を維持するためには有利となるのです。そこで付着歯肉の少ない歯には、付着歯肉を移植する必要になります。これが遊離歯肉移植術です。
処置中の画像は下記になります。
2015年01月13日
「根尖側移動術」という手法で、通常であれば保存できない歯を抜歯せずに対応した症例になります。この症例も「他院で抜歯」と宣告された症例で、最後の手段として当院にご相談に来られた患者様の症例です。このように「他院で抜歯」と宣告されたとしても当院では対応できる症例もありますので、一度ご相談ください。
処置中の画像は下記になります。
2015年01月13日
「根尖側移動術」という手法で、通常であれば保存できない歯を抜歯せずに対応した症例になります。この手法は、歯牙が歯肉縁下にある状態のものを、角化歯肉を温存もしくは増やしながら歯牙を歯冠側にもってくることで、保存不可能な歯牙を保存できるテクニックです。