前歯の審美修復 ダイレクトボンディング 〜福山市 歯医者〜
2015年08月31日
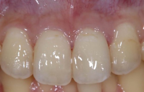
前歯の隙間と、保険でつめた、詰め物の変色を
ダイレクトボンディングシステムにて修復しました。
人は初対面の時まず目をみて、そして口元をみて
その人の第一印象を決めてしまうといわれています。
前歯は、第一印象に大きく関与するためこのような処置は
とても有効ですね!!


2015年08月31日
前歯の隙間と、保険でつめた、詰め物の変色を
ダイレクトボンディングシステムにて修復しました。
人は初対面の時まず目をみて、そして口元をみて
その人の第一印象を決めてしまうといわれています。
前歯は、第一印象に大きく関与するためこのような処置は
とても有効ですね!!
2015年08月31日
今回のケースはインプラントと上部構造を
をスクリュー(ネジ)で連結してファイナルとしました。
インプラントの上部構造は、セメントで固定してしまうか
スクリューで固定してしまうかの2択なのですが
スクリュー固定のメリットは、
もし上部構造が割れてしまっても、すぐにネジを緩めて
修理できる事です。
またセメントで固定するとインプラントの周囲に残った
セメントがインプラント周囲炎を引き起こす可能性があり
当院では90%以上のインプラントはねじ止めにしています。
インプラントは感染に弱いため、このような対応は
術後の長期的な予後にとても大事です!!!!
2015年08月19日
神経まで到達するほど大きなむし歯でした。
従来の治療であれば、神経の処置をして差し歯になってしまいますが、
EMデンタルクリニックでは極力、神経を保存する努力をします。
神経の処置をおこなうと、歯の強度はとても弱くなり、またむし歯に対する
抵抗力もとても落ちますので将来的な抜歯のリスクがとても高くなるのです!
治療の難易度はとても高いのですが
技術の向上と材料の向上がこのような治療を可能にしています。
最小限の侵襲で最大限の結果が得られる素晴らしテクニックだと
考えています。