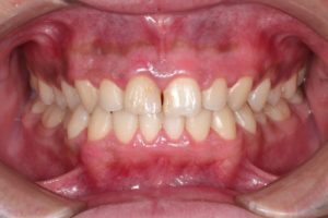
口元の印象
2019年01月23日
こんにちは⭐
アシスタントの藤田です😊
先日、前歯の治療を終えられた患者様から差し入れをいただきました✨

治療を終えて頂いたお言葉が
「前歯の見た目キレイになって自分に自信がつき人生変わりました!!」
もー!なんてうれしいお言葉😭
以前は無意識に口元を隠して笑っていたのがキレイになった事で自信を持って歯を出して笑えるようになったそうです👏✨
もちろん自身だけではなく相手に与える印象も大きく変わっています!
よく母親に
「人の目を見て話しなさい」
と言われていましたが、実際に会話をしているときに目が行くのは口元だったりします。
歯が黄ばんでいたり
銀歯がチラっと見えていたりすると
単純に歯がキレイ、汚いだけではなく
相手に与える清潔感などにも大きく影響すると言われています😳
まだまだ歯の治療やメンテナンスは優先順位が低い方も多いですが
お顔の印象を左右したり
歯が健康ということは、おいしいご飯や好きな物をたくさん食べれて健康にもつながりますので
お痛み、症状がなくても是非検診にいらしてくださいね😊⭐
手作り🍰
2019年01月22日
こんにちは😊
アシスタントの藤田です🎵
先日、患者様に手作りのパウンドケーキを頂きました💓💓
1つずつラッピングもされてかわいいし、おいしいしとにかく感動の一言✨
わざわざ私たちEMの為にと思うとさらに感動で涙がこみ上げてきます😭✨
おいしすぎてペロリと頂きました🍴
ありがとうございます❗❗
その上、笑顔がステキでいつもお話をさせていただく度に元気を頂いています😍
いつもお心遣いありがとうございます😄

💋ガムブリーチング💋
2019年01月21日
こんにちは😄
アシスタントの藤田です⭐
いきなりですが、笑った時にチラッと見える歯ぐき気になりませんか??
どれだけキレイに治療してもタバコやステインで黒ずんだ歯ぐきだとちょっと見た目が悪く感じる事があります😓
患者さまからも、歯ぐきの色はキレイにできないですか?
と言うお言葉を多く頂き
ついに「ガムブリーチング」という歯ぐきの漂白を導入しました✨✨
ガムブリーチングを行うと約3、4日で黒ずんでいた歯ぐきがピンク色に改善し見た目がとてもキレイになります❗❗
実際にした写真をみても全然印象が変わるのが見てわかると思います😳

歯が白いのもステキですが、歯ぐきがピンク色で健康的な色をしているとさらにステキな印象になりますよ😍💓
ぜひ、気になればお気軽にお声掛け下さいね😊
☀幸せな日々☀
2019年01月12日
7日から仕事初めを迎えやっと1週間が経ちましたね😌!
まだまだお正月休みの怠けた体から抜け出せないアシスタント藤田です…💦💦
ですが、院長・えりこ先生からお土産を頂いたり
患者様からは
「今年もよろしくお願いします😄」
と、たくさん差し入れやお言葉を頂き幸せな日々が続いています💓
いくつか写真に納める前につい食べてしまったものも…

そして14日は成人の日と言う事で、20歳の皆様おめでとうございます✨
私の時は、雪が降っていてすごく寒かった記憶がありますが
今年は天気にも恵まれそうで良かったです☀
一生に1度しか経験ができないのでたくさん楽しんで良い1日を過ごして下さい😍✨✨
新年✨初ブログ
2019年01月10日
遅くなりましたが
新年あけましておめでとうございます🎍
今年、厄年のアシスタント藤田です😭
そんな事は気にせず2019年も笑顔いっぱいでがんばります!!
EMデンタルクリニックでは新年を明け
スタッフ2名が産休に入りさみしい気持ちもありますが
新たにスタッフが1名入社したり、衛生士学校からは実習生が2名来てくださり
フレッシュな気持ちでスタートしています(#^^#)
新しいスタッフが入るといつも思うことは
「初心を忘れるべからず」
と実感します(*_*)
入社したばかりの頃の、新鮮で謙虚な気持ちと志を忘れずにいたいと思います☆
どうぞ今年もよろしくお願いいたしますm(__)m♡
最後に産休に入った、大塚さんと藤井さんとパシャリ📷
2人の元気な赤ちゃんに会えるのが楽しみです👶✨